WHAT IS MYOEPITHELIAL CARCINOMA?


Myoepithelial Carcinoma (MEC), also known as malignant Myoepithelioma, is a rare cancer of children, teenagers, and adults that can occur in the salivary glands, kidney, and from soft tissue like muscle. Approximately 66% of these tumors occur in the parotid gland (part of the salivary gland).

Symptoms of MEC usually begin with a painless mass. Other symptoms vary depending on the site of the tumor and may include hoarseness, nasal blockage, bleeding from the nose, pain, headaches, and facial weakness and paralysis. MEC has been found to spread to the lungs, bone, liver, peritoneum, pleura, kidneys, brain, and skin.

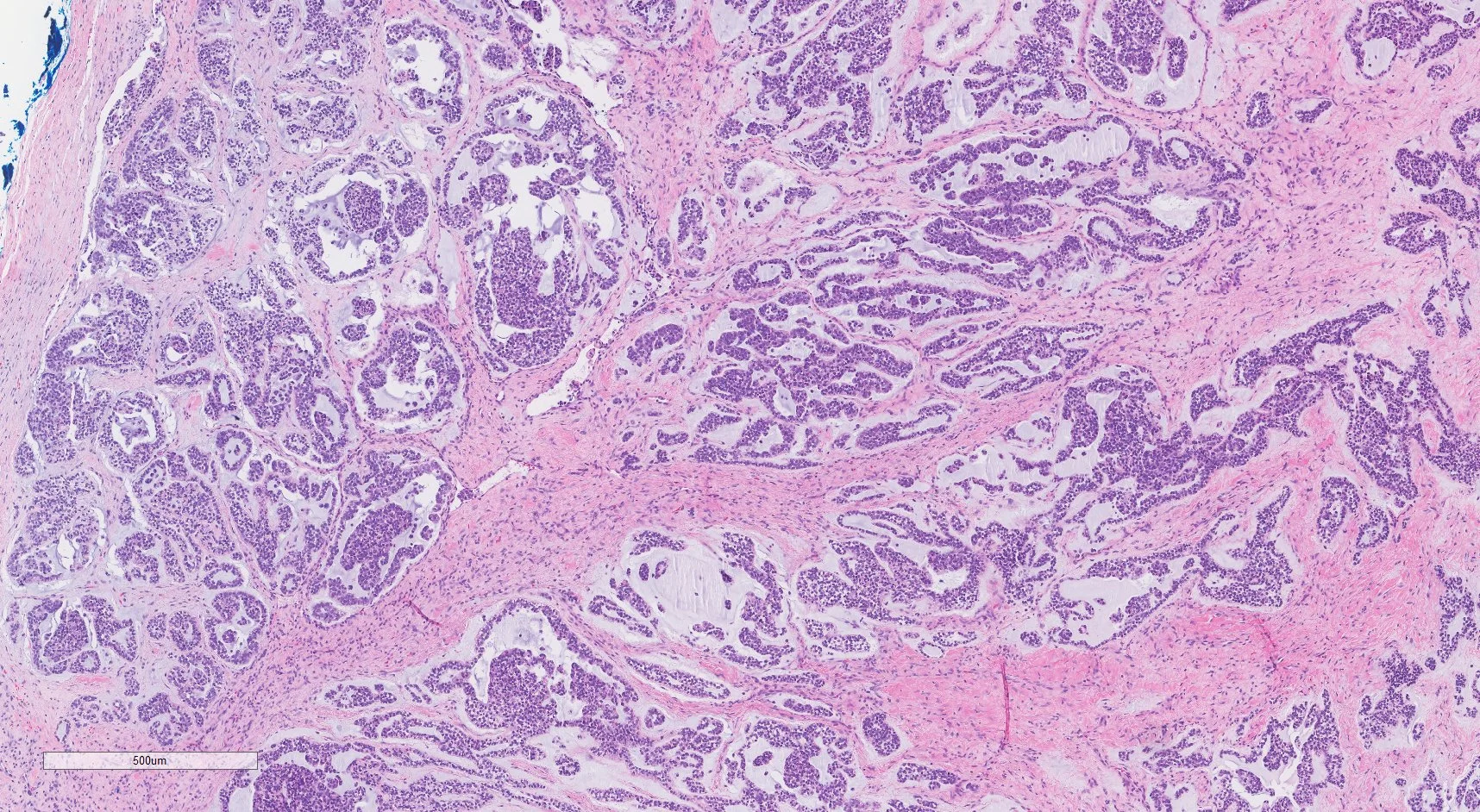
MEC gets its name from how the cells that make up this tumor look under the microscope. Like all tumors with a myoepithelial component, MEC tumors exhibit a wide morphologic and cytologic diversity that is based on four major types of cells, similar to those seen in benign myoepithelioma: spindle, plasmacytoid (hyaline), epithelioid, and clear cell types.

The average age of diagnosis is 55 years, but cases in children, teens, and young adults also occur. Treatment depends on the location and stage of the tumor. Treatment options may include surgery to remove the affected tissues, radiation therapy, and chemotherapy. Due to the absolute rarity of this cancer, it is poorly understood and no treatment options specific to MEC currently exist. MEC was first described in 1975.

  • MEC is extremely rare, and there is very limited data on its exact prevalence. It is most commonly diagnosed in adults, though cases in children and teenagers have also been reported. Due to its low incidence, the factors that contribute to the progression of MEC remain poorly understood.

  • Some people with MEC do not have symptoms when the cancer first starts. Later, when the tumor gets larger, symptoms can depend on where the tumor is growing in the body. If the tumor grows near the surface of the skin, you will be able to see and feel the tumor.

    Since MEC is so rare, it is likely that your pathologist has never seen MEC before. Thus, work with your doctors to request second opinions from the top cancer hospitals and other Centers of Excellence in order to confirm the diagnosis.

    Imaging: If you have symptoms of MEC, your doctor will use imaging scans such as X-ray, ultrasound, CT, and MRI to create pictures of areas inside your body that help the doctor see whether a tumor is present and how big it is. They will also check for signs that the tumor has spread to other parts of the body.

    Biopsy: Your doctor will do a biopsy, taking a small sample from the tumor with a needle, to check if the tumor is MEC. They may also do an excisional biopsy, where the entire tumor is removed. An expert, called a pathologist, will study cells from the sample under the microscope and run other tests to see if the tissue is cancer. They will also look for certain changes in chromosomes to confirm that your cancer is MEC.

    The pathologist describes the findings in a pathology report, which contains details about your diagnosis. Pathology reports play an important role in diagnosing cancer and helping decide treatment options. Learn more about pathology reports and the type of information they contain. Always think about second opinions from an expert national or international pathologist.

    Tumor tissue from a biopsy contains genetic information that (1) may help confirm the diagnosis, and/or (2) could hold the key to rapid advances in MEC treatment. Ask your doctor about the way genetic testing can help confirm the diagnosis. And for more information on how to donate your tumor tissue for research visit our cureMEC Biobank page here.

    If the biopsy and other tests show that you or your child have MEC, you may have more tests to help your doctor plan treatment. For instance, your doctor will need to figure out the stage of your cancer and whether or not it has spread to other parts of the body.

    PET Scan: A PET scan, a type of nuclear scan that makes detailed 3-D pictures of areas inside your body where glucose is taken up, may be conducted. Because cancer cells often take up more glucose than healthy cells, the pictures can be used to find cancer in the body. Some hospitals may offer PET/CT or PET/MRI scans, powerful hybrid imaging technologies which have been shown to provide more accurate diagnoses than the two scans performed separately.

    Bone Scan: A bone scan is a type of nuclear scan that checks for abnormal areas or damage in the bones, and may be conducted to determine if the cancer has spread to the bones.

    The National Cancer Institute has more detailed information on how cancer is diagnosed.

  • Treatment for each patient will be unique but options may include surgery, radiation therapy, and chemotherapy. Second opinions should also be sought in order to learn how other doctors would treat your specific type of MEC.

    Surgery: 

    Surgery is one of the primary treatments for MEC. Whenever possible, it is important for the entire tumor to be removed, with wide margins of healthy tissue surrounding the tumor. Any microscopic cancer cells left behind after surgery can often regrow.

    Chemotherapy: 

    Although there are no standard treatment guidelines for MEC, chemotherapy can be used to stop or slow the growth of cancer cells, or lessen the chance it will return. Chemotherapy regimens for the treatment of MEC can include the drugs doxorubicin, ifosfamide, etoposide, vincristine, cyclophosphamide, cisplatin, among others. The National Cancer Institute has more information on how chemotherapy is used to treat cancer.

    Radiation therapy: 

    Radiation therapy is usually recommended after surgery to kill any remaining tumor cells that are left behind after surgery. The radiation is aimed at the tumor area to prevent it from growing back after it is removed. In some cases, radiation is given both before and after surgery.

    Genomic Testing: 

    Tumor genomic testing, or biomarker testing, is a way to look for genes, proteins, and other substances (called biomarkers) that can provide information about cancer. Each person’s cancer has a unique pattern of biomarkers. Some biomarkers affect how certain cancer treatments work. Biomarker testing is a critical tool to help you and your doctor choose a treatment for you or your child.

    Some treatments for MEC, including targeted therapies, may only work for people whose MEC has certain biomarkers. For example, people with MEC that have certain genetic changes in the NTRK gene can get treatments that target those changes, called TRK inhibitors. In this case, biomarker testing can find out whether someone’s cancer has an NTRK gene change that may be treated with an TRK inhibitor, like the drug larotrectinib.

    Talk with your doctor to discuss whether biomarker testing for cancer treatment should be part of your care.

  • Scientists are always working to understand how cancer forms, but it can be hard to prove. We know that in some cases of MEC, chromosomes (the parts of your cells that contain all of your genes) break apart and get put back together in the wrong way. This can cause cells to not function like they should. For example, in some cases of MEC, a gene called EWSR1 joins with a region called KLF15, KLF17, PBX3, PBX1, ATF1, POU5F1, or ZNF444. In other cases of MEC, the gene PLAG1 joins with a region called IFR, CTNNB1 or CHCHD7.

  • The estimate of how a disease will affect you long-term is called prognosis. Every person is different and your prognosis will depend on various factors, including where the tumor is in the body, the size of the tumor, if the cancer has spread to other parts of the body, and how much of the tumor was taken out during surgery.

    Doctors base MEC survival rates on how groups of people with MEC have done in the past. Because there are so few people with MEC, these rates are difficult to predict and may not be very accurate. One study of soft tissue MEC estimates that tumors come back in the same area in 42% of patients and the cancer spreads to other parts of the body in 32% of people with MEC. Because MEC is likely to come back in the same spot or spread to different parts of the body after treatment, it is very important to have regular follow-up visits with your doctor.

    If you want information on your prognosis, it is important to talk to your doctor. Also, the National Cancer Institute has resources to help you understand cancer prognosis.

  • Myoepithelial carcinoma (MEC) is a deeply under-researched and underfunded cancer—but together, we can change that. At cureMEC, we raise awareness, fund critical research, and support patients and families. If you or a loved one has been diagnosed, we invite you to donate tumor tissue samples to the MEC BioBank and join the cureMEC Data Commons—key resources driving progress toward better treatments. Myoepithelial carcinoma (MEC) is a deeply under-researched and underfunded cancer—but together, we can change that. At cureMEC, we raise awareness, fund critical research, and support patients and families. If you or a loved one has been diagnosed, we invite you to donate tumor tissue samples to the MEC BioBank and join the cureMEC Data Commons—key resources driving progress toward better treatments. And most importantly, your donation or fundraising today can directly accelerate lifesaving MEC research and deliver hope to families who cannot wait.

DISCLAIMER: This is not intended to be medical advice. If you have any questions about how this information may pertain to your or your child’s case, please discuss it with your doctor.

Additional Resources and Research

Explore a growing collection of studies, research papers, and expert insights dedicated to understanding myoepithelial carcinoma (MEC). These resources highlight current scientific advancements, emerging clinical trials, and collaborative efforts from researchers and advocacy partners working to improve diagnosis, treatment, and outcomes for those affected by MEC.

Additional Resources