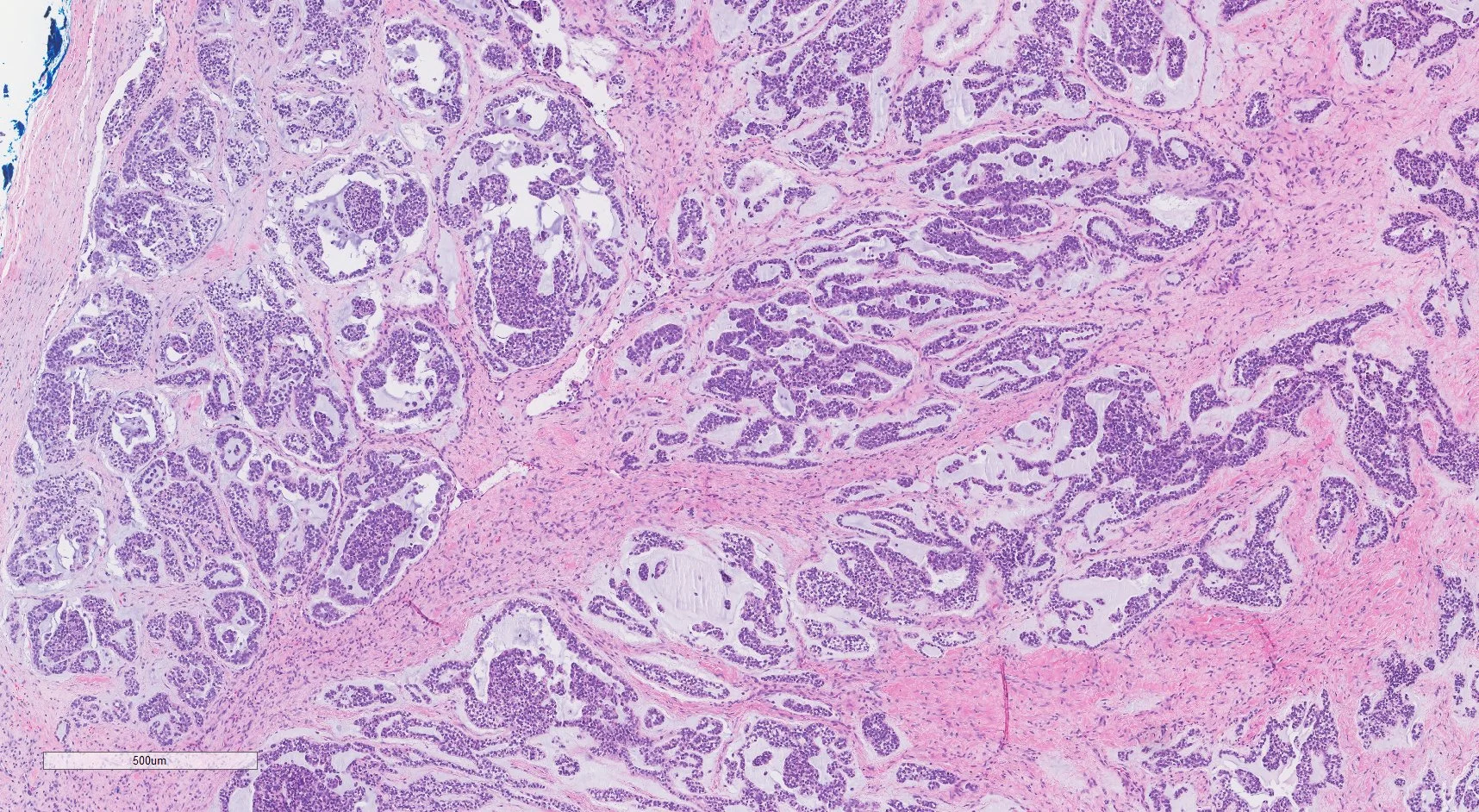
For Pathologists & Labs: Contribute MEC Samples
Every myoepithelial carcinoma sample can advance research and treatment discovery.
Contact our Director of Research ( jamie@curemec.org) to discuss submission of your preserved MEC samples.
Every myoepithelial carcinoma sample can advance research and treatment discovery.
Contact our Director of Research ( jamie@curemec.org) to discuss submission of your preserved MEC samples.